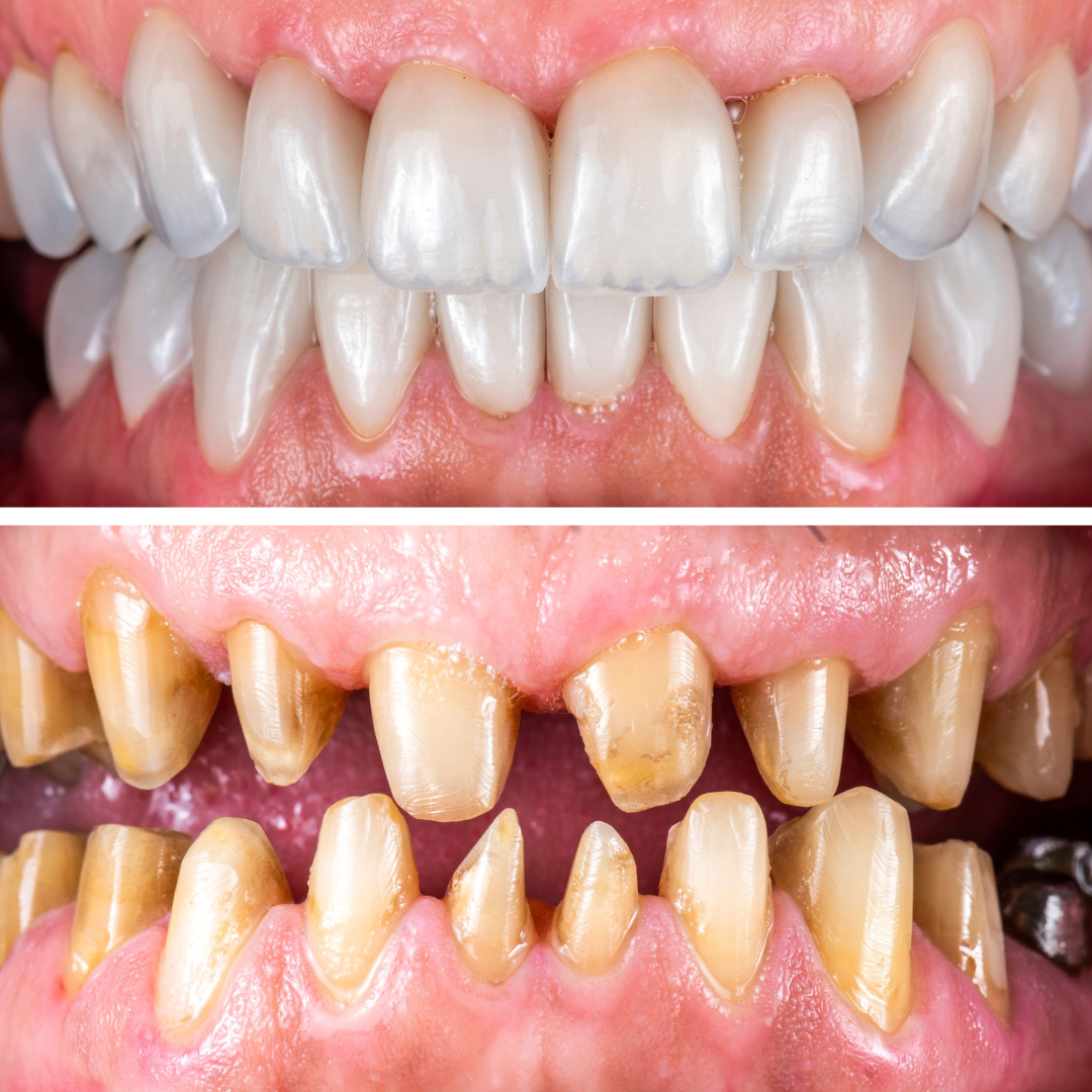
Transformative Smiles: A Visual Archive
Exploring Case Studies of Remarkable Before and After Dental Procedures
Embracing a patient-centric approach, we prioritize your comfort, satisfaction, and oral health. Melorin aims to be your trusted partner in creating the perfect smile, one that not only enhances your appearance but also boosts your confidence and overall well-being.
As a leading dental lab, our mission is to craft functional restorations that help dentists effortlessly deliver beautiful smiles to every unique individual they serve.
Exploring Case Studies of Remarkable Before and After Dental Procedures





Transform Your Practice with Our Comprehensive Digital Dental Academy Courses








Whether you’re certain of your needs or seeking guidance on intricate cases, count on us to be by your side.